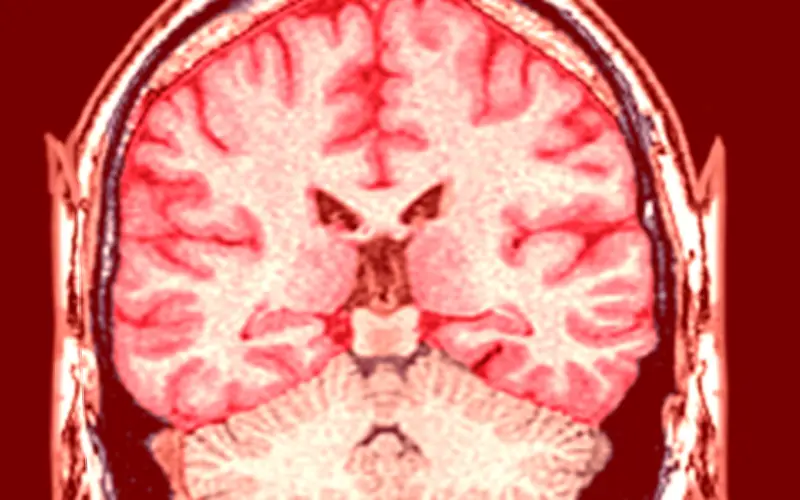
Infartos cerebrales en adultos jóvenes: la crisis silenciosa que crece en México
Los infartos cerebrales, conocidos médicamente como accidentes cerebrovasculares (ACV), han dejado de ser una amenaza exclusiva de la tercera edad. En la actualidad, las salas de urgencias en México y a nivel global están recibiendo cada vez a más pacientes que apenas superan los 30 años de edad, un dato que alarma profundamente a los expertos en salud neurológica. Este fenómeno representa un cambio drástico en la epidemiología moderna, obligando a la comunidad médica a replantear urgentemente sus estrategias de prevención.
¿Por qué el cerebro joven está cada vez más en riesgo?
La respuesta a este preocupante incremento no se encuentra en un solo factor aislado, sino en una combinación letal de hábitos modernos. El ritmo de vida acelerado está deteriorando la salud cardiovascular de las nuevas generaciones mucho antes de lo que la biología humana tenía previsto originalmente. Según datos recientes de la Organización Mundial de la Salud (OMS), el riesgo de padecer un infarto cerebral a lo largo de la vida ha experimentado un aumento del 50% durante las últimas dos décadas.
Neurólogos advierten que el incremento de enfermedades metabólicas a edades tempranas es el principal motor de esta crisis. El cuerpo joven está lidiando con niveles de toxicidad y desgaste metabólico que antes solo se veían tras décadas de envejecimiento natural. Padecimientos crónicos como la hipertensión arterial, la diabetes tipo 2 y la obesidad están dañando las arterias desde la juventud, actuando como una bomba de tiempo silenciosa dentro del frágil sistema circulatorio.
El impacto del estilo de vida y los factores ambientales
A los problemas metabólicos se suma el impacto directo del entorno y las decisiones diarias que tomamos. El estrés crónico derivado de la presión laboral, el sedentarismo extremo frente a las pantallas y la constante exposición a la contaminación del aire en las grandes ciudades inflaman peligrosamente los vasos sanguíneos. Asimismo, las dietas ultraprocesadas, ricas en grasas saturadas y sodio, junto con el consumo temprano de tabaco y alcohol, aceleran el deterioro arterial.
Estos malos hábitos provocan la acumulación de placa en las arterias, dificultando el flujo de sangre oxigenada hacia el tejido cerebral y elevando el riesgo de isquemia. La American Heart Association subraya que el descontrol del colesterol en la sangre es un factor de riesgo devastador, y los jóvenes rara vez monitorean sus niveles lipídicos, asumiendo erróneamente que su juventud los protege de eventos cardiovasculares graves.
La magnitud del problema a nivel global
La gravedad de la situación se refleja claramente en las estadísticas globales más recientes sobre salud neurológica. Tan solo en el año 2021, se reportaron cerca de 11.9 millones de nuevos casos de infartos cerebrales a nivel mundial, una cifra que evidencia la urgencia de abordar esta crisis de salud pública.
¿Cómo prevenir un accidente cerebrovascular a tiempo?
Afortunadamente, la ciencia médica asegura que la gran mayoría de los factores de riesgo son completamente modificables si se detectan a tiempo. Tomar el control de tu salud hoy mismo mediante pequeños cambios diarios puede reducir drásticamente las probabilidades de sufrir un episodio isquémico o hemorrágico en el futuro cercano. Los especialistas recomiendan seguir estos puntos clave en tu rutina:
- Revisa tu presión arterial al menos dos veces al mes.
- Realiza un mínimo de 30 minutos de ejercicio cardiovascular diario para fortalecer tu corazón.
- Prioriza alimentos frescos, frutas, verduras y reduce drásticamente el consumo de sodio.
- Mide tus niveles de glucosa y colesterol mediante análisis de sangre preventivos cada doce meses.
Finalmente, es vital aprender a reconocer los síntomas tempranos, como debilidad repentina en un lado del cuerpo, asimetría facial o dificultad para articular palabras. La prevención y el diagnóstico oportuno son herramientas esenciales para combatir esta creciente amenaza a la salud de los adultos jóvenes en México y el mundo.



